Posts

Postoperative Reduction of Intraventricular

Syed Shahzad Hussain1 Asif Raza1 Saman Shahid2 Hafiz Hamza Asif1,3 Usman Ahmad1
Naveed Ashraf1
1Department of Neurosurgery, Jinnah Hospital, Lahore, Pakistan
2 Foundation for Advancement of Science and Technology (FAST),
National University of Computer and Emerging Sciences (NUCES),
Lahore, Pakistan
3National Hospital & Medical Care, DHA, Lahore, Pakistan
J Neurol Surg A

Address for correspondence Saman Shahid, PhD, Foundation for
Advancement of Science and Technology (FAST), National University
of Computer and Emerging Sciences (NUCES), B Block, Faisal Town,
Lahore, Pakistan (e-mail: saman.shahid@gmail.com).

Keywords
► external ventricular
drainage
► intraventricular
hemorrhage
► cerebrospinal fluid

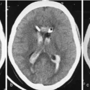
Abstract Background/Aims The use of single/dual external ventricular drains (EVD) for redu-
cing intraventricular hemorrhage (IVH) is under investigation. A randomized controlled

trial was conducted to compare postoperative reduction of IVH volume using single-
and dual-catheter drainage in spontaneous IVH patients. We investigated factors that

may influence an effective hematoma volume reduction by EVDs.
Materials and Methods The average cerebrospinal fluid (CSF) drainage volumes were
analyzed. Computed tomography (CT) scans were performed on admission, 24 hours
and 48 hours after EVD placement, and then on days 5 and 8. Patient group 1 was
treated with a single EVD; patient group 2 was treated with bilateral EVDs. The IVH
volume was calculated in all ventricles. A multivariate analysis was conducted to
investigate variables that can influence the extent of hematoma volume reduction with
a bilateral EVD. Regression followed by a Pearson correlation was performed to observe
the strength of association of cofounders with the IVH volume reduction.
Results The percentage of IVH volume change was found to be significantly higher in
the dual-catheter group compared with the single-catheter group (p 1⁄4 0.0034) after
5 days of EVD. The mean reduction in IVH volume was 17.36 (mL) in patients 45 years
of age and 20.50 (mL) in patients > 45 years. The multivariate analysis suggested the
following significant predictors for IVH volume reduction: age of the patient
(p 1⁄4 0.011) and longer duration (days) of EVD (p 1⁄4 0.028). The age of the patient
had a weak positive association and duration of EVD had a positive association with the
IVH volume reduction.
Conclusion Intraventricular drainage via bilateral EVDs may provide a better draining
of blood-mixed CSF because it led to faster clot clearance. It is suggested that a longer
duration of bilateral EVDs may lead to a greater reduction in IVH volume. Older patients
may experience a greater IVH volume reduction by EVD because the volume of CSF
increases with cerebral atrophy. Read more